Pie in the sky! Pastry sent soaring towards space
A meat and potato pie is attached to a weather balloon and sent soaring to 97,000ft above the Earth’s crust. . Report by Conor Mcnally.
¿La ciencia del aluminio?
Dra. Claudia Fernández Limón / Horno 3 Es un elemento abundante en la corteza terrestre. No sólo se encuentra cubriendo la comida que sobró en el refrigerador, se utiliza en las latas de refresco, en empaques de comida, en la construcción de aviones, automóviles y teléfonos móviles, entre otros usos. ¿Dónde se encuentra? Se encuentra presente […]
Lalo González «Piporro», un año más (95)
Jorge Pedraza Salinas No cabe duda. Lalo González «Piporro» tenía un gran cariño por su tierra natal: Los Herreras, Nuevo León. Con gran naturalidad nos dijo en varias ocasiones que su pueblo –el nuestro– fue antes la capital de Grecia. Sin embargo –explicaba–, al ocurrir la gran hecatombe de la caída del Coloso de Rodas […]
Alargan la vida de ratones gracias a la reprogramación celular
Agencia SINC Científicos del Instituto Salk de Estudios Biológicos en California (EE UU) han conseguido, en ratones con progeria –una enfermedad genética que provoca el envejecimiento prematuro–, aumentar su esperanza de vida desde una media de 18 semanas a 24, lo que supone un 30% más. El hallazgo, publicado en la revista Cell, muestra cómo los […]
El árbol de Darwin evoluciona
Por Martín Bonfil Olivera Dirección General de Divulgación de la Ciencia, UNAM Acaba de terminar una semana terrible. Murió otro de los grandes, Leonard Cohen. El pueblo estadounidense demostró que no es capaz de impedir que un loco irresponsable que representa lo peor de la cultura de su país llegue al puesto de mayor poderen el […]
Diciembre en la historia de la UANL
Jorge Pedraza Diciembre es el último mes del año. Sin embargo, para la Universidad de Nuevo León es el inicio de muchas cosas. Diciembre es el último mes del año. Sin embargo, para la Universidad de Nuevo León es el inicio de muchas cosas. Es el mes en que toman posesión nuevos rectores, se […]
¿Cómo logar un envejecimiento saludable en México?
Carmen Báez / CONACYT Lo declaró la Organización Mundial de la Salud (OMS) a través del Informe mundial sobre el envejecimiento y la salud publicado en 2015: por primera vez en la historia, una gran proporción de la población puede aspirar a vivir hasta los 60 años o más; mientras que para 2050 habrá más […]
Más de 100.000 personas refutan a Einstein en un experimento mundial de física cuántica
Agencia SINC El 30 de noviembre, por primera vez, el mundo tuvo la oportunidad de participar y seguir en directo un gran experimento mundial que tenía como objetivo poner a prueba las leyes de la física cuántica: www.thebigbelltest.org. Coordinado por el Instituto de Ciencias Fotónicas (ICFO), doce laboratorios de todo el mundo pusieron en marcha […]
Nihonio, moscovio, téneso y oganesón, confirmados como nuevos elementos de la tabla periódica
Agencia SINC El pasado mes de junio los equipos de químicos que habían descubierto los elementos 113, 115, 117 y 118 de la tabla periódica solicitaron a la Unión Internacional de Química Pura y Aplicada (IUPAC) que se denominaran –en inglés– nihonium, moscovium, tennessine y oganesson. Tras el plazo de cinco meses establecido para las […]
De carne y hueso: PABLO LATAPÍ SARRE
Por Ismael Vidales Delgado ESTE ES EL PENÚLTIMO DEL 2016, EL DÍA 10 ENVÍO EL ÚLTIMO. ME TOMO UN DESCANSO Y CONTINUO EN ENERO DEL 2017 SI DIOS QUIERE. Don Pablo Latapí Sarre (el hombre a quien acompaño en la fotografía de mi perfil) dedicó su vida a la investigación educativa, fue asesor de varios […]
Así calculan las neuronas el éxito o el fracaso de tus decisiones
Agencia SINC “Si no me voy a casa ahora, mañana trabajaré con una resaca horrible… pero esto se está animando, creo que voy a pedir la última copa”. Independientemente de qué decisión tomemos ante esta disyuntiva de jueves por la noche, ambos pensamientos, el prudente y el eufórico, están motivados por experiencias previas, tanto dolorosas […]
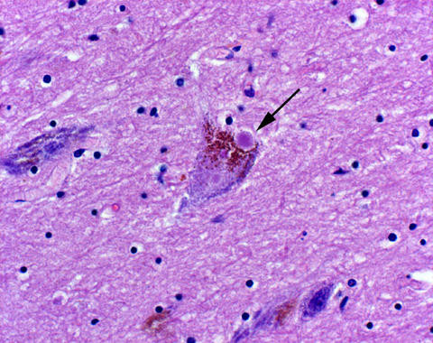
El origen del párkinson puede estar en el intestino
Agencia SINC Los enfermos de párkinson suelen tener problemas digestivos años antes de sufrir los primeros síntomas de su enfermedad. Se ha especulado con que esta dolencia neurodegenerativa nazca en las tripas y viaje más tarde al cerebro, pero nadie ha conseguido una prueba fehaciente de este extraño vínculo. Hasta hoy, cuando un equipo de […]
¿La ciencia de los neumáticos?
Dra. Claudia Fernández Limón / Horno 3 Las llantas o neumáticos de los vehículos forman parte importante de la vida. Trasportan personas y mueven los bienes de los que dependemos todos los días. ¿Cómo se fabrican? Las llantas se fabrican con mezcla sofisticada de materiales, que incluyen fibras de alta tecnología, naturales y sintéticas y […]
¿Estás despierto?
Rodrigo Soto Moreno Deambulamos en este mundo sin considerar que dentro de nuestro organismo se albergan alrededor de 37.2 billones de células, además de contar con un órgano rector, el cerebro, que pesa aproximadamente 1.5 kilogramos, con 2% de la masa corporal pero consumiendo 20% de la energía del cuerpo. Dentro de esa caja cerebral […]
