Los sueldos de los mexicanos
Juan Roberto Zavala Con motivo de la controversia que durante estos días se ha suscitado alrededor de la propuesta del virtual Presidente electo de nuestro país, Andrés Manuel López Obrador, de fijarse un sueldo de 108 mil pesos mensuales y su propuesta de respetar el mandato de nuestra Constitución (art. 127) para que ningún funcionario […]
Bigger Than T. rex: Spinosaurus | National Geographic
Newly discovered fossils revealed that Spinosaurus, bigger than T. rex, was an excellent swimmer, unlike any other dinosaur. Found in the sands of Morocco, the bones suggest that, unlike its land-dwelling cousins, this meat-eating creature likely fed on sharks and other fish. Spinosaurus was about 50 feet long, and the «sail» on its back was […]
Every Dinosaur In ‘Jurassic Park’ Series Explained | WIRED
Nathan Smith, associate curator in the Dinosaur Institute at the Natural History Museum of Los Angeles County, talks about every dinosaur that appears in the Jurassic Park films. How realistically were the dinosaurs in the films portrayed? Is the T-Rex actually the king of the dinosaurs? Is the real life Dilophosaurus actually SCARIER than its […]
Astronaut Chris Hadfield Debunks Space Myths | WIRED
Retired astronaut Chris Hadfield helps debunk (and confirm!) some common myths about space. Is there any sound in space? Does space smell like burnt steak? Is NASA working on warp speed?
Debunking Anti-Vaxxers
Here’s what to say to anti-vaxxers! Created by: Mitchell Moffit and Gregory Brown Written by: Amanda Edwards, Annik Carson, Rachel Salt, Greg Brown, & Mitch Moffit Illustrated by: Max Simmons Edited by: Sel Ghebrehiwot & Mitch Moffit
Plastic Pollution: How Humans are Turning the World into Plastic
Modern life would be impossible without plastic – but we have long since lost control over our invention. Why has plastic turned into a problem and what do we know about its dangers?
Bitcoin is Hurting the Search for Aliens!
Bitcoin and the search for aliens.
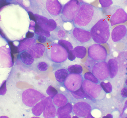
Cambios genéticos predicen el riesgo de padecer leucemia mieloide aguda
Agencia SINC Científicos del Instituto Wellcome Sanger y el Instituto Europeo de Bioinformática (EMBL-EBI) y del Centro de Investigación Biomédica en Red de Epidemiología y Salud Pública (CIBERESP), entre otras instituciones, han descubierto que los pacientes con leucemia mieloide aguda (LMA) tenían cambios genéticos en la sangre años antes de que desarrollaran la enfermedad. El […]
Is The Universe A Hologram?
According to Leonard Susskind («Bad Boy of Physics»), our reality is much stranger than it appears to be and life, the universe, EVERYTHING, might just be a holographic projection! Is the universe a hologram? Is reality an illusion?? Will we ever comprehend the vastness of outer space?
Detectados más de 400 genes de resistencia a antibióticos en granjas europeas
Agencia SINC A partir del análisis de una muestra de 9.000 cerdos y pollos de nueve granjas de la Unión Europea, un equipo de investigación internacional, en el que participa la Universidad Complutense de Madrid (UCM), ha detectado la presencia de 407 genes de resistencia a antibióticos, algunos presentes en todas las explotaciones estudiadas. Para […]
The Misunderstood Nature of Entropy | Space Time
Entropy and the second law of thermodynamics has been credited with defining the arrow of time.
En vida, hermano. En vida.
Jorge Pedraza Salinas No hay que esperar a que la gente muera para decirle lo que sentimos. No hay que esperar a que desaparezcan las personas para llenar su tumba de flores. En vida, hermano, en vida Si quieres hacer feliz, a alguien que quieres mucho, dícelo hoy, sé muy bueno … en vida, hermano, en vida. Si […]
Identifican más de 1.200 variantes genéticas asociadas al éxito educativo
Agencia SINC El rendimiento académico es moderadamente heredable, pero también entran en juego factores sociales, económicos y de salud para alcanzarlo. Un equipo de científicos de más de 200 centros de todo el mundo ha ampliado la muestra de anteriores trabajos y ha examinado la composición genética y la historia educativa de más de un […]
Probada la relatividad general de Einstein cerca de un agujero negro supermasivo
Agencia SINC El agujero negro supermasivo más cercano a la Tierra, oscurecido por espesas nubes de absorbente polvo, se encuentra a 26.000 años luz de distancia, en el centro de la Vía Láctea. Este monstruo gravitatorio, con una masa cuatro millones de veces la del Sol, está rodeado por un pequeño grupo de estrellas orbitando […]
