Descubierto un nuevo linaje de chimpancé extinto en el ADN de bonobo
Agencia SINC Un estudio liderado por investigadores del Instituto de Biología Evolutiva (IBE) en Barcelona, un centro mixto del Consejo Superior de Investigaciones Científicas (CSIC) y de la Universidad Pompeu Fabra (UPF), revela que una especie desconocida y actualmente extinta de chimpancés vivió en la selva de África central hace centenares de miles de años […]
Immunotherapy: Boosting the immune system to fight cancer
The concept of ‘teaching’ the immune system to recognize and destroy cancer cells is over a century old, but the development of immunotherapeutic strategies for cancer was slow for many decades. However, much has been learned about the immune system in the meantime, and with the recent approval of two new immunotherapeutic anticancer drugs and […]
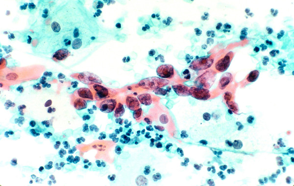
El cáncer cervical es más agresivo cuando no hay virus del papiloma humano
Agencia SINC El cáncer cervical negativo para el virus del papiloma humano (VPH) es poco frecuente pero más agresivo: suele diagnosticarse en estados más avanzados y se asocia con más metástasis y menor supervivencia. Estas son las conclusiones de un estudio, publicado en Modern Pathology, coliderado por ISGlobal, centro impulsado por “la Caixa”, el Hospital […]
Inside Alzheimer’s disease
Our understanding of Alzheimer’s disease has come along way in the last century. In this animation, Nature Neuroscience takes us inside the brain to explore the cells, molecules and mechanisms involved in the onset and progression of this devastating condition – from the latest advances to the remaining gaps in our scientific knowledge.
La comida basura afecta a la salud de los pinzones de Darwin
Agencia SINC Las islas Galápagos, a las que el naturalista británico Charles Darwin (1809-1882) dedicó tantos estudios sobre la evolución, son un claro ejemplo de cómo la presencia humana influye en los ecosistemas. En los últimos 30 años, el archipiélago, situado en el océano Pacífico, ha experimentado un aumento de la población, que ha llegado a más […]
The Science Of Motivation
What’s the best way to stay motivated?
El cohete reutilizable de Space X cumple su primera misión comercial
Agencia SINC El potente cohete reutilizable Falcon Heavy de la empresa Space X ha puesto en órbita este jueves al satélite Arabsat-6A, media hora después de despegar desde el Centro Espacial Kennedy que tiene la NASA en Florida (EE UU). Se trata de la primera misión comercial de esta compañía estadounidense, que en 2018 ya envió al […]
La sonda israelí Beresheet se estrella contra la Luna
La nave espacial israelí Beresheet, una misión de la empresa SpaceIL y el grupo estatal Industrias Aeroespaciales de Israel (IAI), no ha conseguido aterrizar con éxito este jueves en la Luna como estaba previsto. Finalmente la sonda chocó contra la superficie lunar y se interrumpieron las comunicaciones, según han reconocido los responsables de la misión, que comenzó en […]
Los efectos del cambio de horario en el reloj biológico
MEC Gisela Aguilar Martínez Dos veces durante el año se cambiar los relojes en nuestra vida cotidiana. En primavera se adelantan una hora y en otoño se atrasan otra. Más allá del concepto de ahorro de electricidad lo verdaderamente importante para nuestro cuerpo es la reducción o ampliación de las horas de luz a las […]
What “Machiavellian” really means – Pazit Cahlon and Alex Gendler
From Shakespeare’s plays to modern TV dramas, the unscrupulous schemer for whom the ends always justify the means has become a familiar character type we love to hate. For centuries, we’ve had a single word to describe such characters: Machiavellian. But is it possible that we’ve been using that word wrong this whole time? Pazit […]
Los gemelos de la NASA revelan cómo cambia la salud en el espacio
Agencia SINC La ciencia lleva años preguntándose por los efectos en la salud de los vuelos espaciales. Sin embargo, la mayoría de los estudios se han realizado en misiones de seis meses o menos, no en las más largas como las que se requieren para viajar a Marte o a otros lugares. Así que cuando la NASA decidió analizar dos astronautas gemelos idénticos –uno […]
How to biohack your cells to fight cancer – Greg Foot
The human body is made up of about 30 trillion cells that carry a code which has been duplicated over and over for billions of years – with varying degrees of accuracy. So what happens when the system breaks down and the machinery turns on itself, leading to cancer? Greg Foot dives into the science […]
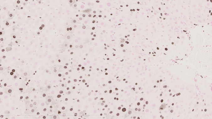
Proponen una nueva diana terapéutica contra el cáncer de hígado
Agencia SINC Un grupo de investigación del Centro Nacional de Investigaciones Cardiovasculares (CNIC), coordinado por Guadalupe Sabio, ha descubierto que la proteína p38gamma (p38ɣ) es necesaria para el inicio de la división celular en el hígado. Esto hace que “pueda ser una buena diana terapéutica para el cáncer hepático”, señala Sabio. El equipo lleva varios años estudiando una familia de […]
New human species found in the Philippines
Scientists have found a few bones and seven teeth belonging to a previously unknown species of human. They’ve named the new species Homo luzonensis, after the island of Luzon in the Philippines where it was found. The bones are tiny, suggesting that Homo luzonensis was under 4 feet tall. That would make it the second […]
