El estado de ánimo influye en el sistema inmunológico
MEC Gisela Aguilar Martínez Aunque no lo creamos, nuestro estado de ánimo está muy relacionado con nuestro bienestar físico y con ciertas enfermedades y puede llegar a ser determinante para mejorar la calidad de vida. El estrés, la falta de afecto y el desánimo alteran a las hormonas que modulan el sistema inmune, y, en […]
What are mini brains? – Madeline Lancaster
Shielded by our thick skulls and swaddled in layers of protective tissue, the human brain is extremely difficult to observe in action. Luckily, scientists can use brain organoids — pencil eraser-sized masses of cells that function like human brains but aren’t part of an organism — to look closer. How do they do it? And […]
Esta mandíbula neandertal es un ‘expediente X’
Agencia SINC Un equipo del Centro Nacional de Investigación sobre la Evolución Humana (CENIEH), liderado por José María Bermúdez de Castro, junto con la investigadora francesa Amélie Vialet, del Museo de Historia Natural de Paris, acaba de publicar en la revista PLOS ONE un artículo sobre la mandíbula del Pleistoceno Medio de Mountmaurin-La Niche (Francia), que desvela […]
Nueva estrategia para evitar la resistencia a la insulina en diabetes
Agencia SINC Un equipo del CIBER de Diabetes y Enfermedades Metabólicas Asociadas (CIBERDEM) y del CIBER de Bioingeniería, Biomateriales y Nanomedicina (CIBER-BBN), ambos en Madrid, han encontrado activadores de una posible diana terapéutica para el tratamiento de pacientes con diabetes y resistencia a la insulina. Liderados por Antonio Zorzano, del IRB Barcelona, y Fernando Albericio, […]
Nuevos datos sobre el desarrollo de fibrosis cardiaca en la obesidad
Agencia SINC Un equipo de la Facultad de Medicina de la Universidad Complutense de Madrid (UCM), del Instituto de Biología y Genética Molecular (IBGM), centro mixto del CSIC y la Universidad de Valladolid y del centro Navarrabiomed en Pamplona han realizado una investigación que ha mostrado el papel del receptor mineralocorticoide en la fibrosis cardíaca […]
Detectan ocho tipos de cáncer en sangre antes de que se extiendan
Jesús Méndez El diagnóstico precoz es el mantra de la lucha contra el cáncer. Avistar un tumor en sus fases iniciales dispara las opciones de tratamiento y curación. Con este propósito, un equipo internacional de investigadores ha empleado las más modernas técnicas de rastreo mediante biopsia líquida. Con ellas han buscado en la sangre de más de mil pacientes […]
Un algoritmo ayuda a encontrar trabajo a los refugiados que llegan a un país
Agencia SINC Investigadores de la Universidad de Stanford (EE UU) y de ETH Zúrich (Suiza) han desarrollado un algoritmo con el objetivo de mejorar las perspectivas de empleo de los refugiados que llegan a un país. Los resultados del trabajo se han publicado en el último número de la revista Science En muchas ocasiones después de […]
The Nature of Nothing | Space Time
It turns out that «nothing» is one of the most interesting somethings in all of physics.
A Disease’s Guide to World Domination
There’s something surprising that helps determine how damaging a disease is: distance.
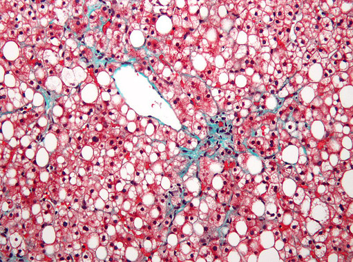
Nuevos determinantes implicados en el desarrollo de hígado graso no alcohólico
Agencia SINC Un nuevo estudio realizado por Manuel Vázquez Carrera, investigadora del CIBERDEM y la Universidad de Barcelona, ha permitido descubrir nuevos determinantes implicados en el desarrollo de la enfermedad del hígado graso no alcohólico, la alteración hepática más común y cuya incidencia ha alcanzado proporciones epidémicas en el mundo. Esta patología incluye un amplio abanico de […]
The Simple Solution to Traffic
The way we can make traffic disappear.
Halladas unas de las huellas de tortugas más antiguas del mundo en Valencia
Agencia SINC El investigador de la Universidad de Jaén (UJA), Matías Reolid, en colaboración con paleontólogos del departamento de Geología y Botánica de la Universidad de Valencia y del Museo de Ciencias Naturales de Valencia, ha analizado las 46 huellas de tortuga del Carniense (Triásico superior), aproximadamente de hace 227 millones de años, que han […]
Salvar hasta 10.000 vidas en Europa gracias al carril bici
Agencia SINC Un estudio liderado por el Instituto de Salud Global de Barcelona (ISGlobal), centro impulsado por la Fundación Bancaria ”la Caixa”, destaca que la ampliación de las redes de carriles bici en las ciudades podría aportar beneficios considerables para la salud y la economía. El trabajo —que forma parte del Proyecto PASTA (Physical Activity through Sustainable […]
What Does Your Search History Say About You?
What Does Your Search History Say About You?
