
Agencia SINC
Investigadores del grupo de investigación Informática Gráfica y Geomática de la Universidad de Jaén han desarrollado un software que permite la reproducción mediante imágenes tridimensionales de una fractura ósea. Los cirujanos podrán obtener información precisa antes de una operación a través de las indicaciones que ofrece el programa. El método identifica de manera automática las distintas partes del hueso dañado y señala las zonas de contacto entre ellos para ayudar a determinar cómo debe ser la reparación.
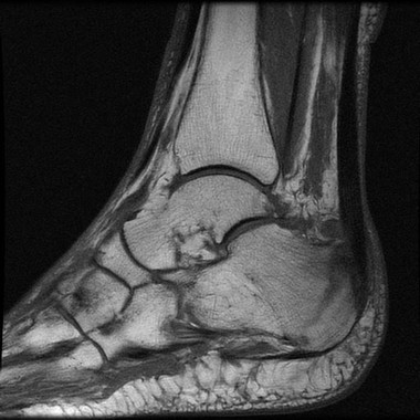
De esta manera, el cirujano conoce de forma más precisa cómo debe tratar cada fragmento del hueso roto en la planificación preoperatoria, evitando errores de cálculo o incertidumbres que suelen presentarse en intervenciones de gran complejidad. En un estudio, publicado en la revista Comput Methods Programs Biomed los expertos han confirmado el éxito de este método en casos de fractura por impacto en huesos de tobillo, que suelen ser las lesiones de mayor complicación por la cantidad de piezas afectadas.
El objetivo es recomponer la fractura de manera automática o semiautomática. Concretamente, el método aumenta la probabilidad de obtener resultados satisfactorios, ya que a los especialistas se les proporciona información adicional antes de la cirugía.
“Una fractura compleja es como la resolución de un rompecabezas 3D en el que se debe colocar cada trozo en su posición correcta. Las aplicaciones informáticas pueden ayudar en este proceso, ya que, mediante imágenes, se identifica la cantidad de piezas y su ubicación. También se detectan cuáles son las zonas de contacto y la posición correcta de cada fragmento”, explica el investigador de la Universidad de Jaén Félix Paulano, autor del artículo.
Pistas para resolver el puzle
El método identifica las heridas de una manera exacta partiendo de una imagen obtenida por tomografía axial computarizada (TAC), una prueba diagnóstica de rayos X que permite observar el interior del organismo en forma de cortes transversales o tridimensionales. Así, se puede conocer a priori y de forma precisa si se observan solo partes óseas o también hay músculos, tendones u otro tipo de tejidos blandos que no se diferencian en una radiografía convencional.
Con estas imágenes y la aplicación creada por los investigadores se muestra el número de piezas, la orientación y separación y se marcan las zonas de contacto entre ellas, incluso si la imagen aparece rotada, es decir, que alguna parte no sea visible desde la representación inicial. El sistema completo podría compararse con la marca por separado de cada parte de un puzle para conocer previamente cómo recomponer la totalidad. El algoritmo creado calcula la zona de unión entre dos fragmentos óseos que se separan y etiquetan desde las imágenes del TAC generándose una serie de puntos para cada trozo de hueso, lo que permite que las partes puedan alinearse de dos en dos.
El enfoque que se muestra en este artículo se aplicó con éxito en diferentes casos de traumas en el área del tobillo, una de las más complicadas en cirugía traumatológica. El sistema calculó de manera precisa en todos los casos clínicos probados que no existían solapamientos o espacios visibles entre los fragmentos.
Además, las pruebas realizadas demostraron que se resuelven también los pequeños desplazamientos que pueden darse de manera inicial en este tipo de fracturas. “La determinación de la zona de contacto solo toma unos segundos para los casos más complejos y podría mejorarse adaptando el algoritmo para su ejecución eficiente de manera más compleja, ya que se basa en el procesamiento individual de cada punto de los fragmentos óseos. De esta forma, el tiempo global podría reducirse considerablemente”, añade el investigador. Los expertos también han verificado este método en otro tipo de daños óseos, como fracturas en hombros.
Referencia bibliográfica:
Félix Paulano Godino y Juan José Jiménez Delgado. «Identification of fracture zones and its application in automatic bone fracture reduction». Comput Methods Programs Biomed.
